Invisalign
in Hollywood, FL
Unlock Your Best Smile With Invisalign at Smile On Us
Welcome to Smile On Us Dental in Hollywood FL, your premiere destination for top-quality dental care. Led by Dr. Ilya Freyberg, our practice is dedicated to helping patients create their ideal smile through cutting-edge treatments such as Invisalign. Whether you need to straighten misaligned teeth or correct any bite issues, Invisalign offers discreet yet comfortable and effective solutions. Find out below about its many advantages as an orthodontic solution and understand why choosing Smile On Us Dental best serves your orthodontic needs!
Let’s face it, nobody wants to walk around with a hunk of metal in their mouth. Luckily for those that are turned off by traditional braces but are still looking to straighten their teeth, there’s Invisalign. Invisalign is a series of clear, removable teeth aligners that both orthodontists and dentists use as an alternative to traditional metal dental braces in Hollywood, FL. With Invisalign, you could have a rejuvenated, straighter smile in just 9 – 15 months!
Invisalign or Braces? Find out which one is best for you.
<-
Call us to schedule FREE consultation with Invisalign specialist Dr. Freyberg.
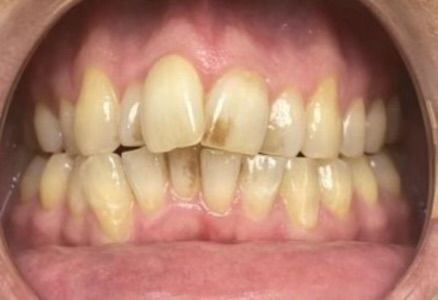
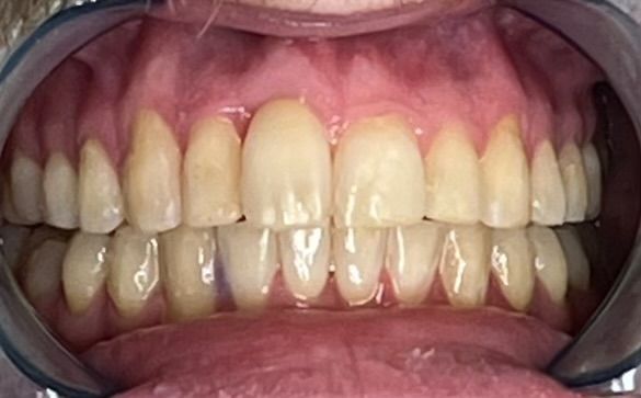
LOOK AT HOW HAPPY OUR PATIENT IS WITH INVISALIGN!
Try Invisalign
$1000 OFF Treatment
Invisalign Procedure
Why choose Smile On Us Dental?
Expert Dentist:
At Smile On Us Dental, your orthodontic care is in the capable hands of Dr. Ilya Freyberg–our experienced head dentist who takes great pleasure in creating stunning smiles through skill, artistry, and the latest advancements in orthodontic technology to deliver remarkable results for each of his patients.

Personalized Treatment Approach: Because every smile is unique, we tailor your orthodontic treatment. Our Invisalign plan will address all your needs, goals, and concerns from the initial consultation through the final results.
State-of-the-Art Technology: Smile On Us Dental utilizes cutting-edge technologies like digital scanning, 3D imaging, and computer-aided design to deliver Invisalign treatments that are precise and accurate while remaining comfortable for our patients. We employ state-of-the-art tools and techniques which enable us to offer superior results with efficiency and comfort.
Patient-Centric Care:
At Smile On Us Dental, your comfort, satisfaction, and well-being are of the utmost importance to us. Our welcoming atmosphere provides the ideal setting in which to feel at ease during your orthodontic journey. Our friendly team members are there every step of the way to offer assistance and answer any queries that arise along your journey.
Request Your Appointment Today
Looking for a reliable dental clinic that can offer you a comprehensive range of dental services, including Invisalign? Smile On Us Dental is here to help! Our team of dental experts provides routine cleanings and preventive measures, cosmetic dentistry procedures, and restorative solutions, along with restorative treatments and cosmetic procedures to help you achieve and maintain healthy, beautiful smiles for you and your family. In addition, we also offer Invisalign treatment that can transform your smile discreetly and effortlessly. So why wait? Book a consultation appointment with Dr. Ilya Freyberg today and take the first step towards straighter teeth and improved confidence with every smile you share.






